Toothache at midnight? Crown came off right before your big meeting?
Life has a funny way of picking the worst time for dental surprises. When that happens, my job is simple: get you out of pain fast, save your tooth if possible, and make sure you walk out smiling (or at least not wincing).
At my clinic, I provide prompt, evidence-based emergency dental care in Singapore. Just the right treatment, right when you need it.
If your tooth throws a tantrum at 2 a.m., your face looks like you tried the chipmunk filter in real life, or you’ve had a close encounter with a flying cricket ball… It’s time to see an emergency dentist in Singapore. Fast. Waiting it out won’t make it better, only more dramatic.
Some of the usual suspects in dental emergencies:
Dr. P’s tip: Not sure if it’s an emergency?
Call me. If it can wait, I’ll tell you. If it can’t, I’ll get the chair ready before you hang up.
Dental emergencies can be stressful, but knowing the right steps makes all the difference.
Here’s what to do while you’re on your way to get emergency dental care in Singapore
Hold the tooth by the crown (the white part), avoid touching the root. Rinse gently with cold water if dirty, no scrubbing! If you can’t replant it, store it in milk, saline, or your saliva. Then get to your emergency dentist in Singapore aka Me within 30 minutes for the best chance of saving it.
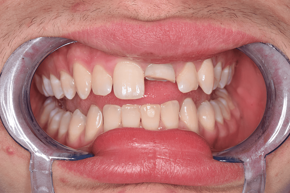
If your tooth chips or breaks, find the piece if you can and keep it in salt water or saline. Bring it along when you visit me, sometimes we can fix it with emergency dental treatment in Singapore!
Rinse your mouth with warm water and apply a cold compress to reduce swelling. You can take painkillers if needed, but avoid putting heat directly on the area. If swelling causes trouble breathing, seek emergency medical care immediately.
Apply gentle but firm pressure with clean gauze or cloth to the bleeding spot. If bleeding doesn’t stop or is heavy, get emergency dental services in Singapore right away.
Keep all broken parts safe and bring them with you to your emergency dental appointment.
I’m here to guide you through the best emergency dental services in Singapore.
When you come to me with a dental emergency, here’s the no-stress process you can expect from start to finish
I know dental emergencies aren’t fun, so first, I make sure you feel heard and at ease. Deep breaths, we got this!
I’ll ask about your symptoms and medical history to understand what’s going on and plan the safest, smartest approach.
With a gentle exam and maybe some quick X-rays, we pinpoint the root of the problem (pun intended!).
Your comfort comes first! I’ll ease your pain and stabilise the issue so you can breathe easier.
Depending on what’s needed, I’ll either fix it right away or explain the best next steps for your smile’s long-term health.
Before you go, I’ll make sure you understand what happened, your treatment options, and the follow-up plan to keep your teeth happy.
When your teeth decide to throw a fit, I’m your calm, friendly doctor ready to fix the fuss, quickly. Here’s why:
I combine proven techniques with the latest dental technology to act fast and effectively.
Your safety and comfort come first. I aim to ease anxiety while treating the problem.
With 25+ years in dentistry, I have treated thousands of urgent cases successfully.
Dental emergencies can be overwhelming, but you’re not alone. My team and I are here to help you through the pain, the worry, and the uncertainty, with clear explanations and the right treatment from the moment you walk in.
Find quick answers to common questions about my dental services, procedures, and patient care in the FAQ section.
I’m here to take care of your smile
If you have severe pain, bleeding, swelling, or a knocked-out tooth, see a dentist immediately. Quick action can prevent permanent damage.
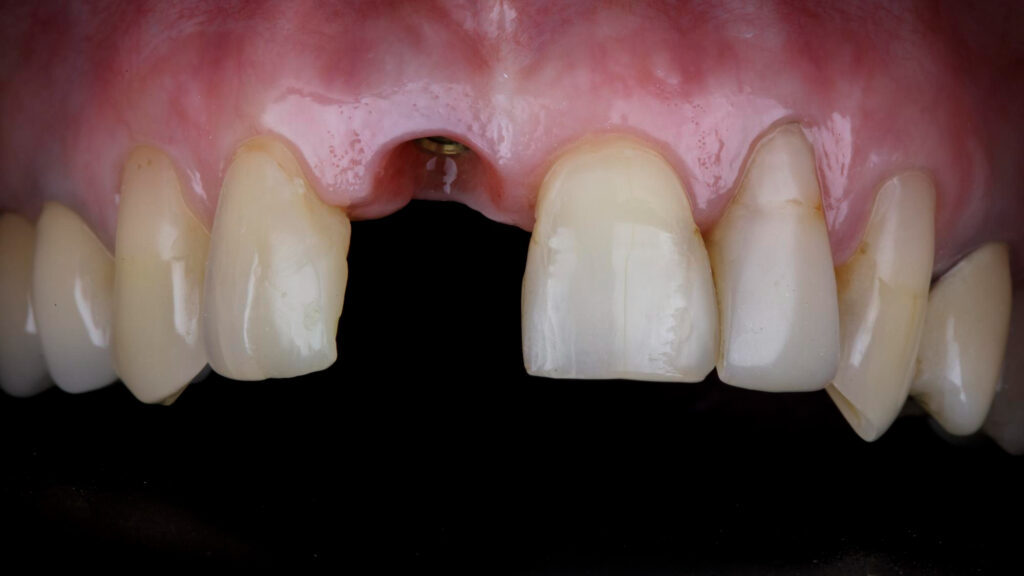
Yes. In most cases, we can restore the tooth on the same day with bonding, a crown, or other suitable treatment.
Handle it by the crown, rinse gently, store in milk or saliva, and get to us within 30 minutes.
The sooner, the better. Some cases like, knocked-out teeth, require attention within an hour.
We offer fillings, crowns, root canals, extractions, and infection control depending on your needs during a dental emergency.
Yes, we provide flexible scheduling and will do our best to accommodate urgent cases outside regular hours.
It depends on the treatment required. We’ll provide a transparent estimate before proceeding.
Coverage for emergency dental treatment depends on your insurance plan. Please bring your insurance details, and we’ll help you with the claims process.
We prioritise emergency cases and aim to see you as soon as possible, often the same day.
Yes, but calling before ensures we’re ready for your arrival.
When dental emergencies strike, you need fast, friendly care, not a wait-and-see game.
Reach out to me for prompt, compassionate emergency dental treatment in Singapore that gets you smiling again in no time.
I’m here to take care of your smile
Fill out the form below to request your dental appointment. We’ll confirm your time and send you a reminder.
I’m here in Singapore to make every dental visit a little easier and every smile a little brighter. My focus is on care that feels personal, comfortable, and built on trust, because your smile deserves nothing less.
Copyright © 2026 All Rights Reserved.